
 (return to previous directory) |

 2019-07-22
|


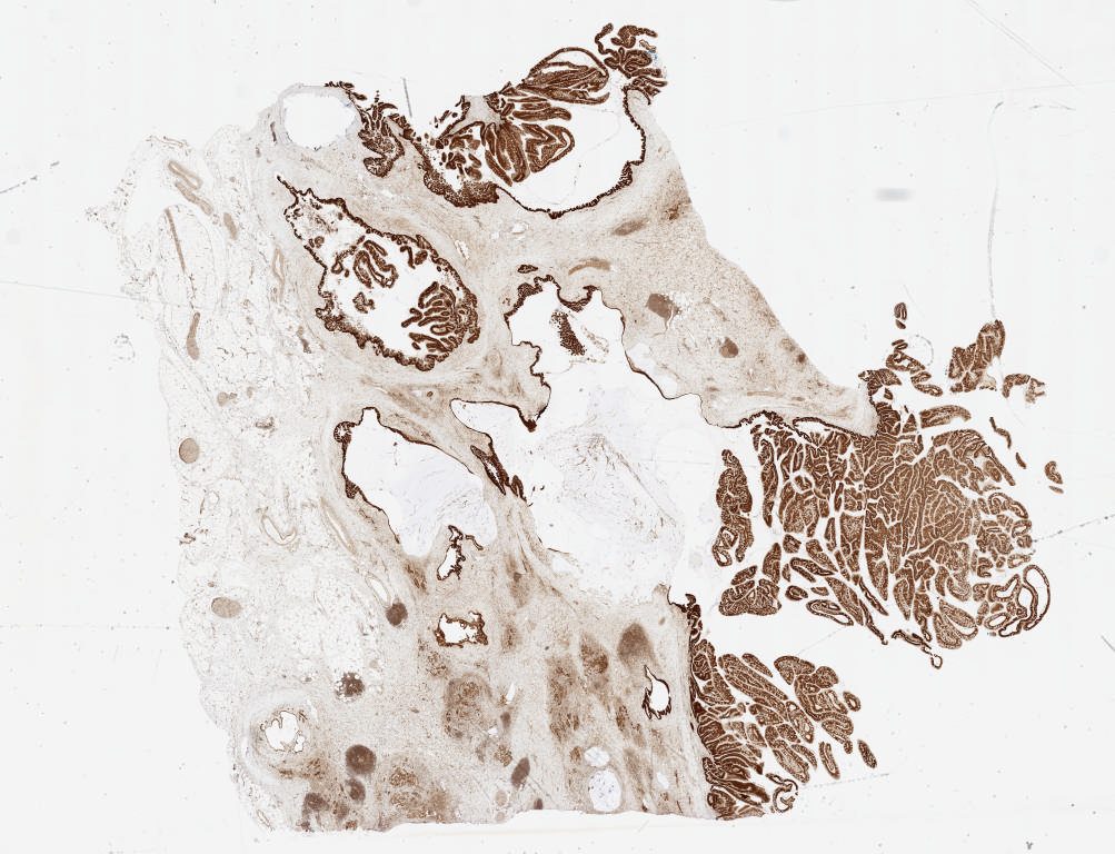
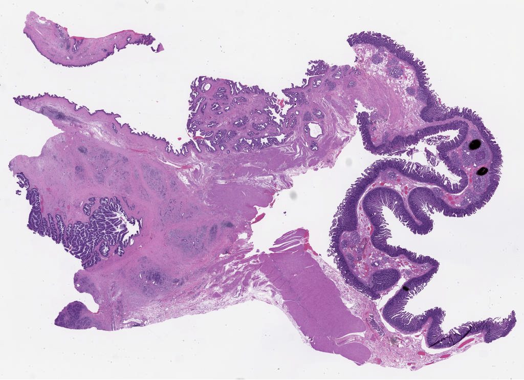
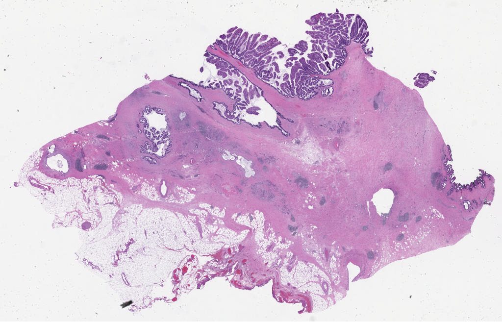
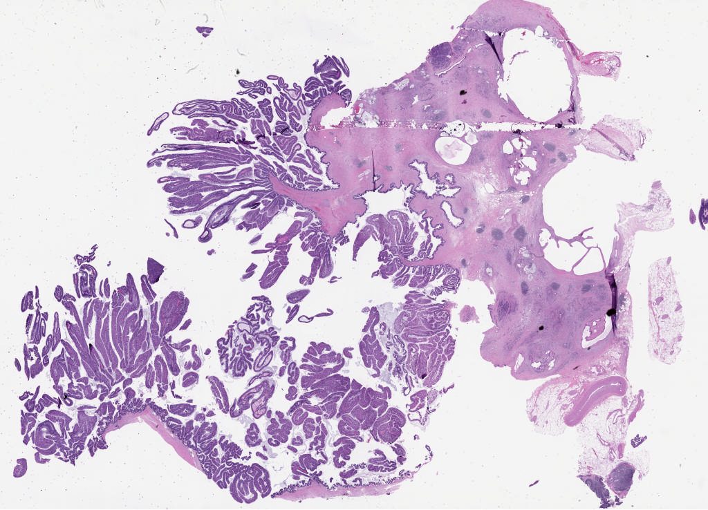
20 smad4.svs
51792 x 39645
@ 20X
|


2aa.svs
33864 x 31745
@ 20X
|


2ab.svs
45816 x 39332
@ 20X
|


2ac.svs
61752 x 44237
@ 20X
|


2ad.svs
41832 x 38126
@ 20X
|


2ae.svs
69720 x 45923
@ 20X
|


2af.svs
63744 x 43828
@ 20X
|


2afs.svs
61752 x 41888
@ 20X
|


2ag.svs
61752 x 45210
@ 20X
|


2ah.svs
63744 x 45289
@ 20X
|


2ai.svs
65736 x 45849
@ 20X
|


2aj.svs
71712 x 45918
@ 20X
|


2ak.svs
61752 x 43833
@ 20X
|


2al.svs
63744 x 45773
@ 20X
|


2am.svs
61752 x 45857
@ 20X
|


2an.svs
65736 x 45361
@ 20X
|


2ao.svs
55776 x 41578
@ 20X
|


2ap.svs
29880 x 33778
@ 20X
|


2bfs.svs
47808 x 43783
@ 20X
|


2c.svs
73704 x 45913
@ 20X
|


2d.svs
51792 x 37534
@ 20X
|


2e.svs
49800 x 34622
@ 20X
|


2f p53.svs
55776 x 44981
@ 20X
|


2f smad4.svs
55776 x 43768
@ 20X
|


2f.svs
59760 x 43839
@ 20X
|


2g p53.svs
59760 x 45781
@ 20X
|


2g smad4.svs
63744 x 44316
@ 20X
|


2g.svs
63744 x 45449
@ 20X
|


2h p53.svs
51792 x 45963
@ 20X
|


2h smad4.svs
57768 x 44330
@ 20X
|


2h.svs
59760 x 42704
@ 20X
|


2i p53.svs
61752 x 39784
@ 20X
|


2i smad4.svs
59760 x 42219
@ 20X
|


2i.svs
57768 x 43678
@ 20X
|


2j p53.svs
49800 x 30980
@ 20X
|


2j smad4.svs
55776 x 30236
@ 20X
|


2j.svs
53784 x 33968
@ 20X
|


2k.svs
57768 x 43111
@ 20X
|


2l.svs
67728 x 41389
@ 20X
|


2m.svs
81672 x 42166
@ 20X
|


2n alk lung.svs
65736 x 41961
@ 20X
|


2n mlh1.svs
63744 x 39534
@ 20X
|


2n msh2.svs
69720 x 39766
@ 20X
|


2n msh6.svs
65736 x 39937
@ 20X
|


2n p53.svs
69720 x 41628
@ 20X
|


2n pdl1sp263.svs
63744 x 39292
@ 20X
|


2n pms2.svs
65736 x 39208
@ 20X
|


2n smad4.svs
65736 x 39286
@ 20X
|


2n.svs
69720 x 42761
@ 20X
|


2o p53.svs
47808 x 39814
@ 20X
|


2o.svs
47808 x 41676
@ 20X
|


2p p53.svs
53784 x 38018
@ 20X
|


2p smad4.svs
51792 x 38671
@ 20X
|


2p.svs
43824 x 41442
@ 20X
|


2q p53.svs
61752 x 38001
@ 20X
|


2q smad4.svs
57768 x 39467
@ 20X
|


2q.svs
61752 x 39619
@ 20X
|


2r p53.svs
59760 x 41003
@ 20X
|


2r smad4.svs
55776 x 38985
@ 20X
|


2r.svs
53784 x 37939
@ 20X
|


2s p53.svs
69720 x 45761
@ 20X
|


2s smad4.svs
63744 x 42692
@ 20X
|


2s.svs
63744 x 45937
@ 20X
|


2t p53.svs
39840 x 37562
@ 20X
|


2t smad4.svs
37848 x 38214
@ 20X
|


2t.svs
49800 x 39809
@ 20X
|


2u p53.svs
61752 x 42863
@ 20X
|


2u smad4.svs
53784 x 39154
@ 20X
|


2u.svs
53784 x 38017
@ 20X
|


2v p53.svs
61752 x 41402
@ 20X
|


2v smad4.svs
57768 x 41089
@ 20X
|


2v.svs
57768 x 43031
@ 20X
|


2w smad4.svs
53784 x 43608
@ 20X
|


2w.svs
59760 x 42134
@ 20X
|


2x.svs
47808 x 45160
@ 20X
|


2y p53.svs
45816 x 41682
@ 20X
|


2y smad4.svs
45816 x 41358
@ 20X
|


2y.svs
43824 x 43144
@ 20X
|


2z p53.svs
55776 x 40363
@ 20X
|


2z smad4.svs
99600 x 43260
@ 20X
|


2z.svs
53784 x 35991
@ 20X
|


3a.svs
63744 x 36701
@ 20X
|


4a.svs
39840 x 18523
@ 20X
|